采用水化碳酸處理鎂鈣砂制備的水結合含鈣澆注料的物理性能等同或優于普通鎂質澆注料的物理性能。結構分析表明:鎂鈣砂的改性層厚度約為8~9um,它并不會對鎂鈣質耐火澆注料的物理性能和使用造成任何有害影響。
鎂鈣系耐火原料儲量大。同時鎂鈣系材料熔點高、抗堿性渣侵蝕能力強,但是其易水化問題卻大大限制了它的應用范圍。近幾年來,煉鋼技術日益向高級化和潔凈化方向發展,加之爐外精煉和連續煉鋼并伴隨高溫出鋼等新工藝的不算涌現,使煉鋼用耐火材料的工作環境日趨惡化,同時希望耐火材料還具有一定的潔凈鋼水的能力。在這種背景下,含鈣系耐火材料又逐漸引起國內外的普遍重視,被列為我國21世紀耐火材料的四大發展方向之一,具有廣泛的開發應用前景。

1 實驗
1.1 原料
澆注料所用鎂鈣砂原料,經處理后的理化性能見表1。
表1 原料的理化性能

1.2 試樣制備及性能檢測
鎂鈣質澆注料的基本配方為:5~2mm的鎂鈣砂44%,2~0mm的鎂砂56%,添加物(粒度<0.088mm)的外加量2%,加水量5%~6%。為了便于比較,用鎂砂代替上述配方中的鎂鈣砂,按相同配比配制了鎂質澆注料。
將混勻后的澆注料倒入40mm×40mm×60mm模具內振動成型。分別經110℃12h、1100℃3h、1500℃3h熱處理后,按GB/T3001-1982和GB/T5072-1985進行常溫抗折和耐壓強度檢測,顯氣孔率、體積密度的檢測按GB/T2997-1982標準進行,線變化率的測定按GB/T3997.1-1988標準進行。
通過光學顯微鏡和掃描電子顯微鏡對試樣顯微結構進行分析,并用能譜分析儀對其元素組成進行了定性、定量分析。
2 結果與討論
2.1 試樣宏觀描述與光學顯微鏡分析
采用未處理鎂鈣砂與處理鎂鈣砂分別按以上配方進行了澆注實驗,經常溫養護12h和110℃12h干燥后,觀察試樣外觀形貌。結果發現:用未經水化碳酸化處理的原料制成的澆注料試樣,干燥后水化引起的龜裂相當嚴重,試樣體積不但發生很大膨脹,而且已斷裂成塊,完全喪失了強度;對于用水化碳酸化改性處理原料制成的試樣則未看到有任何水化現象發生,試樣表面光滑平整,未見有水化造成的變形和裂紋。從二者顯微結構可以看出,采用未處理鎂鈣砂制成的澆注料(圖1),由于鎂鈣砂顆粒中CaO發生劇烈的水化反應,使得顆粒出現大量裂紋,這些裂紋不但造成鎂鈣砂顆粒的完全破壞,而且還延伸到基質中去,逐漸破壞了基質致密化結構,從而導致了整個試樣的損毀;而對用處理后鎂鈣砂制成的澆注料試樣(圖2),由于鎂鈣砂中CaO受表面改性層的保護,在烘干過程中幾乎沒有發生水化反應,從而使試樣從內部結構和外觀尺寸上都保持了原有形態。

圖1 鎂鈣砂未處理澆注料試樣的顯微結構

圖2 鎂鈣砂處理后澆注料試樣的顯微結構
由以上分析可知,改性后鎂鈣砂改性層的存在確定大幅度提高了鎂鈣砂的抗水化性能,其抗水化水平已完全可以抵制住水分蒸發所造成的惡劣水化條件的影響,達到了應用于耐火澆注料的要求。
2.2 鎂鈣質澆注料的常溫物理性能
兩種澆注料的常溫物理性能如表2所示。
表2 鎂鈣質和鎂質耐火澆注料基本性能的比較

表2中數據表明,鎂鈣質澆注料的各項常溫物理性能與鎂質澆注料相差無幾,表明只要解決好鎂鈣質澆注料的抗水化問題,這種材料可以廣泛應用在各種煉鋼設備中。就鎂鈣質澆注料本身而言,改性層CaCO3分解后所殘留的空隙和疏松結構是否對澆注料性能產生不利影響是值得重視的問題。從這兩種澆注料在不同溫度熱處理后的物理性能檢測結果分析,鎂鈣質澆注料中溫強度也有相同的下降趨勢,更可能的原因是由于結合劑在高溫下分散所致。因此,需進一步從結構上探明改性鎂鈣砂在高溫下的結構和形態。
2.3 顯微結構分析
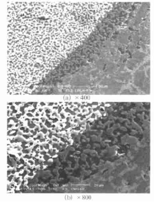
鎂鈣砂表面改性層時提高鎂鈣質澆注料抗水化性能的關鍵所在,它主要由CaCO3組成,在常溫下它緊緊包覆在顆粒表面,有效阻止了水分子與顆粒內部游離CaO接觸,但CaCO3在高溫使用過程中將在850℃左右發生分解。為此,采用掃描電子顯微鏡對不同溫度處理后的鎂鈣質澆注料進行了纖維結構分析。
在110℃12h干燥后的澆注料中(圖3a),鎂鈣砂顆粒邊緣整體平滑,水化碳酸化處理后所形成的改性層用肉眼幾乎觀察不到。當把試樣放大到1600倍后(圖3b),改性層的結構才能較明顯分辨出來。從圖3b中可以看出,該改性層大約有8~9um厚,在鎂鈣砂周邊呈均勻分布,內部主要由白色細顆粒和深灰色MgO晶料組成。為了進一步明確其結構組成,對該試樣進行了能譜分析。
在110℃12h干燥后的澆注料中(圖3a),鎂鈣砂顆粒邊緣整齊平滑,水化碳酸化處理后所形成的改性層用肉眼幾乎觀察不到。當把試樣放大到1600倍后(圖3b),改性層的結構才能較明顯分辨出來。從圖3b中可以看出,該改性層大約有8~9m厚,在鎂鈣砂周邊呈均勻分布,內部主要由白色細顆粒和深灰MgO晶料組成。為了進一步明確其結構組成,對該試樣進行了能譜分析。

圖3 110℃12h干燥后澆注料的顯微結構
對鎂鈣砂表面改性層化學成分分析可知,改性層中白色顆粒主要元素成分為Ca、O還好友少量的C、Mg、Si可以判斷白色顆粒即為水化碳酸化性處理所形成的CaCO3。由圖3b可見,經過干燥過程中強烈的水化作用,該改性層依然具有較好的結構形態,因此保證了干燥后澆注料試樣使用性能未因水化反應而遭到損害。
由熱力學分析可知,CaCO3分解溫度為850℃,因此當鎂鈣質澆注料試樣經1100℃燒成后,鎂鈣砂表面改性層因CaCO3的分解,已經完全解體,從而導致鎂鈣砂表面結構發生改變。從圖4a可以看出,鎂鈣質澆注料燒后試樣中鎂鈣砂顆粒邊緣都明顯出現了一條帶狀結構,該結構大約有20um寬,主要由細小孤立分布的MgO晶粒構成。對該帶結構進一步的放大觀察發現(圖4b),MgO晶粒并不是單獨存在,而是鑲嵌在連續分布的深灰色基質里,對該深灰色物質進行了能譜測定,表明它含有Ca、Mg、O、Si等元素。由于1100℃下,CaO、MgO與SiO2體系無低熔相生成,因此深灰色物質主要礦相組成仍為MgO、CaO、MgO與SiO2體系無低熔相生成,因此深灰色物質主要礦物組成仍為MgO、CaO。

圖4 1100℃3h處理后澆注料的顯微結構
上述分析表明,澆注料在1100℃燒后鎂鈣砂表面改性層基本上都已分解為CaO,使得原來MgO晶粒與CaCO3交互形成的致密結構發生松動,同時分解過程中所產生的CO2氣體的揮發又對這種疏松結構進行了進一步的破壞,從而導致鎂鈣砂邊緣的MgO和CaO晶粒以及與改性層接觸的MgO基質都有一定程度的松動,而從原有結構中脫落,導致鎂鈣砂改性層分解后所殘留的區域比未分解前變寬。另外,燒結過程中基質的微量收縮也導致了改性分解殘留層的進一步加寬。從1100℃燒后試樣的斷口中也可以看出,大部分鎂鈣砂骨料都是沿晶斷裂,表明骨料與基質未能緊密結合。但從表2可知,由于鎂質澆注料中磷酸鹽結合相發生分解,而陶瓷相結合還未形成,從而導致澆注料中溫強度大幅度降低,以致其中溫強度比鎂鈣質澆注料還低,說明澆注料中結合相分解所導致試樣強度的降低要遠遠大于鎂鈣砂改性層分解所引起試樣強度的下降。由此可見,雖然鎂鈣砂改性層分解造成的表面疏松結構會降低澆注料的強度,但程度與結合相分解產生的強下降相比較小,不會對澆注料的使用性能造成太大的影響。
對于1500℃3h燒后的澆注料試樣,由于基質的燒結收縮以及晶粒的發育生長,從圖5可以看出鎂鈣砂改性層分解層進一步擴寬,大約有40~50um,層內MgO和CaO由于晶粒已經明顯發育長大,并相互連接成片,而且與鎂鈣砂和基質都出現了明顯的燒結現象,因此澆注料強度相比于1100℃燒后的澆注料有了很大的提高。觀察1500℃燒后試樣斷口,澆注料試樣中鎂鈣砂骨料大部分都是穿晶斷裂,說明骨料與基質的結合程度有了很大的改善。

圖5 1500℃3h處理后澆注料的顯微結構
由以上分析可知,在1100℃和1500℃燒后的鎂鈣砂澆注料中,鎂鈣砂骨料表面改性層的結構變化對澆注料內部骨料與基質的結合程度產生了一定的作用,但總體來說,并不會對澆注料的實際使用性能造成任何影響。
3結論
經水化碳酸化處理后的鎂鈣砂原料完全可以用來制造水結合澆注料以及其他制品,其物理性能等同于鎂鈣質澆注料,并具有潔凈鋼液的能力,物理性能檢測和顯微結構分析表明抗水化鎂鈣砂原料改性層的存在并不會對使用造成有害影響。